CIENCIAS CLÍNICAS Y PATOLÓGICAS

 

Universidad de Ciencias Médicas de La Habana
Facultad de Ciencias Médicas "Dr. Enrique Cabrera"
Facultad de Ciencias Médicas "Dr. Miguel Enríquez"
Hospital Universitario "Dr. Miguel Enríquez"

 

Abscesos pulmonares múltiples. Presentación de un caso

 

Multiple lung abscesses. Case presentation

 

 

Daisy M. Wainshtok Tomás,I Ana C. Herrera Wainshtok,II Yunior Luis Pulido Prieto,III Bárbara Padilla Docal,IV Fernando Crespo Dominguez,V Aimée S. Cárdenas AlmagroVI

I Especialista Primer Grado en Medicina Interna. Profesor Auxiliar. MSc. en Enfermedades Infecciosas. Hospital Clínico-Quirúrgico Docente "Dr. Miguel Enríquez". E.mail: daisyw@infomed.sld.cu

II Residente Primer año de Medicina General Integral. Facultad de Ciencias Médicas "Dr. Enrique Cabrera". E.mail: daisyw@infomed.sld.cu

III Especialista Primer Grado en Medicina General Integral e Imagenología. Hospital Clínico-Quirúrgico Docente "Dr. Miguel Enríquez". E.mail: junior.pulido@infomed.sld.cu

IV Licenciada en Biología. Profesor e Investigador Auxiliar. MSc. en Enfermedades Infecciosas. Laboratorio Central de Líquido cefalorraquídeo. Facultad de Ciencias Médicas "Dr. Miguel Enríquez". E.mail: barbara.padilla@infomed.sld.cu

V Especialista Primer Grado en Medicina Interna. Profesor Auxiliar. MSc. en Urgencias Médicas. Hospital Clínico-Quirúrgico Docente "Dr. Miguel Enríquez". E.mail: fdocrespo@infomed.sld.cu

VI Especialista Primer Grado en Medicina General Integral y Medicina Interna. Asistente. MSc. en Urgencias Médicas. Hospital Clínico-Quirúrgico Docente "Dr. Miguel Enríquez". E.mail: aimecardenas@infomed.sld.cu

 

 


RESUMEN

Introducción: el absceso de pulmón es una infección pulmonar supurada y circunscrita que provoca la destrucción del parénquima pulmonar, habitualmente aparece uno solo e infrecuentemente, múltiples. Puede presentar variadas etiologías, siendo los microorganismos que se aíslan con más frecuencia: Staphylococcus aereus, Streptococcus pneumoniae y gérmenes anaerobios.
Objetivo
: presentar un caso de un paciente inmunocompetente, que a partir de una celulitis abscedada en rodilla izquierda presentó abscesos pulmonares múltiples.
Presentación del caso:
se presenta el caso de un paciente masculino de 21 años, criador de palomas, con antecedentes de ser asmático desde niño. A los 21 días de una celulitis abscedada en rodilla izquierda, comienza con fiebre elevada, dolor torácico y tos con expectoración blanquecina. Se determinó la presencia de abscesos pulmonares múltiples. Se aisló Staphylococcus aureus en el lavado bronquial.
Conclusiones:
se presenta un caso muy infrecuente en la práctica clínica. Un paciente inmunocompetente con abscesos pulmonares múltiples causado por Stafilococcus aureus, a partir de una celulitis abscedada en rodilla izquierda. El diagnóstico se realizó por estudio microbiológico del lavado bronquial. Evolucionó favorablemente con mejoría clínica e imagenológica.

Palabras clave: abscesos pulmonares múltiples, Staphylococcus aureus, gérmenes anaerobios, celulitis abscedada.


ABSTRACT

Introduction: tThe lung abscess is a suppurated and circumscribed pulmonary infection which causes the destruction of lung parenchyma. Often it appears as a unity and hardly ever multiple. It has several etiologies and the most frequently isolated microorganisms are: Staphylococcus aureus, Streptococcus pneumoniae and anaerobic germs.
Objective:
to present a patient immune-competent that presented multiple lung abscesses due to an abscessed cellulitis at the left knee. Case
Presentation:
it is presented the case of a male patient, 21 years old who suffered asthma. He was a dove breeder. He was admitted at the hospital complaining about high fever, thoracic pain and cough whit whitish expectoration. He had a preview diagnostic of abscessed cellulitis at the left knee, a month before. It was confirmed about the presence of multiple lung abscesses. The Staphylococcus aureus was isolated at the bronchial washing.
Conclusion:
iIt presented a case of a patient immune- competent with multiple lung abscesses due to Stafilococcus aureus, to leave abscessed cellulitis at the left knee. The diagnosis was performed by microbiological study of the bronchial washed. It was applied triple antimicrobial therapy for three weeks and concluded with vancomicina. The patient presented a clinical and radiological improvement.

Key words: multiple lung abscesses, Staphylococcus aureus, anaerobic germs, abscessed cellulitis.


 

 

INTRODUCCIÓN

El absceso de pulmón es una infección pulmonar supurada y circunscrita que provoca la destrucción del parénquima pulmonar hasta producir una o más cavidades mayores de 2 centímetros, habitualmente con un nivel hidroaéreo. La formación de múltiples abscesos de menor tamaño, constituyen la neumonía necrotizante. Ambos, son manifestaciones de un mismo proceso patogénico.1 Inicialmente, es imposible diferenciar de una neumonía localizada, pero cuando la lesión se comunica con un bronquio, parte del tejido necrótico es reemplazado por aire, y produce la clásica imagen radiológica fluido-aire.2

Los abscesos están causados principalmente por microorganismos anaerobios (Clostridim perfringens, septicum y el peptoestreptococo); sin embargo, son frecuentes infecciones mixtas en las que participan microorganismos de la flora orofaríngea.1

Los gérmenes aeróbicos ó facultativos más frecuentemente encontrados son Staphylococcus aureus, Klebsiella pneumoniae, Nocardia sp., y otros. Se pueden encontrar patógenos no bacterianos tales como hongos y parásitos. Su origen también puede ser tuberculoso, secundario a bronquiectasias, quistes infectados e incluso a infartos pulmonares que en su evolución se cavitan y abscedan.1,3

La presentación habitualmente es insidiosa, con fiebre, tos y abundante expectoración purulenta, sudoración nocturna, junto con signo-sintomatología de enfermedades crónicas.1,2 En su mayoría, los abscesos de pulmón se desarrollan como complicación de una neumonía por aspiración de gérmenes anaerobios de la boca, generalmente en pacientes inmunocomprometidos. Otros mecanismos incluyen la bacteriemia o la embolia séptica secundaria a endocarditis bacteriana tricúspidea .1,2

Los casos de abscesos pulmonares múltiples son probablemente de origen hematógeno, ya sea, como resultado de bacteriemia o de embolización séptica. El absceso pulmonar hematógeno más característico se observa en la bacteriemia por estafilococo.4

La incidencia de abscesos de pulmón en la población general, aún en los EEUU, es desconocida. Son más frecuentes en los adultos que en los niños, ya que estos tienen un incremento en la incidencia de enfermedad periodontal y mayor predisposición a la microaspiración. La tasa de mortalidad general varía entre un 5 y 20 %. En la era postantibiótica, la incidencia de absceso de pulmón ha disminuido 10 veces, probablemente como consecuencia de un mejor tratamiento de los cuadros de neumonía. 1, 5

 

OBJETIVO

Presentar un caso de un paciente inmunocompetente que a partir de una celulitis abscedada en rodilla izquierda presentó abscesos pulmonares múltiples.

 

PRESENTACIÓN DEL CASO

Paciente masculino de 21 años, con antecedentes de asma bronquial desde los 3 meses de nacido y, además, se dedica actualmente a la cría de palomas. Un mes antes del ingreso, presentó celulitis de rodilla izquierda a punto de partida de una herida a ese nivel que fue tratado con antibióticos. Aproximadamente a los 21 días concluido ese episodio (duró aproximadamente siete días), comienza con fiebre elevada de 39.50 C, con gran toma del estado general sin signos de focalización. A la semana, se observaron lesiones eritemato pultáceas en faringe, por lo que se indicó ciclo completo de Azitromicina (500 mg diarios por 6 días). En vistas de que no cedía la fiebre y apareció además dolor torácico difuso en hemitórax derecho con expectoración blanquecina y examen respiratorio negativo; es remitido al Cuerpo de Guardia del hospital, en el que se le realiza un Rx de Tórax, observándose abscesos pulmonares múltiples en pulmón derecho y se deja ingresado en la unidad de cuidados intermedios de Medicina (UCIM).

A los 6 días de su ingreso, la expectoración se hizo verdosa y con féculas, continuaba con fiebre elevada y marcada toma del estado general. Posterior a la realización de la broncoscopía (que se realizó a los 12 días de estar en UCIM) fue que se notó una franca mejoría clínica, pues favoreció el drenaje, pero continuaba haciendo fiebre. Desde el momento de su ingreso en esa unidad, se comenzó con triple terapia antibiótica (Ceftriaxone, Amikacina y Metronidazol) por 20 días, cuando llegó el resultado del estudio microbiológico se le cambia a Vancomicina (500mg cada 6h) cede completamente la fiebre y es trasladado a la sala de Medicina Interna, hasta el alta hospitalaria.

Se le dio el alta hospitalaria al mes y medio de su ingreso, con mejoría clínica y radiológica. Se le indicó tratamiento antibiótico por vía oral 2 semanas más y se siguió por consulta externa hasta su alta definitiva.

 

EXÁMENES COMPLEMENTARIOS MÁS IMPORTANTES

Analítica Sanguínea en el momento de ingresar: HB 130g/l. Leucograma L:13.2 x10g/l. pmn 0.73%, linfocitos 0.23%, Hemoquímica sanguínea: normal. Evolutivamente se normalizó el Hemograma y presentó elevación ligera (menos del doble de su valor normal), de las Transaminasas: TGP 75.6 UI, TGO 52 UI, se interpretó secundario al uso de cefalosporinas.

Test de VIH: Negativo y Serología VRDL: Negativo.

Por el antecedente de ser criador de palomas, se realizó estudio de Tinción de Tinta China en líquido cefalorraquídeo: negativo.

Hemocultivo: I, II, III: No se obtuvo crecimiento bacteriano

Fibrobroncoscopia: Tráquea normal, Carina normal, Bronquio derecho: alteración del contenido bronquial dado por secreciones viscosas y adherentes de coloración amarilla. Bronquio Izquierdo: Normal

Diagnóstico clínico: Absceso pulmonar derecho

Diagnóstico endoscópico: Proceso supurativo crónico. Se sugiere continuar antibioticoterapia y drenaje postural.

Lavado bronquial de broncoscopía. Estafilococos aerus, Hafnia alvei

Estafilococos aerus (sensible): amikacina, vancomicina, cefatoxina, ciprofloxacino, kanamicina, cloranfenicol, norfloxacilo. (Resistente): estreptomicina, eritromicina, oxacillin.

Hafnia alves (sensible): cloranfenicol, meropenen. (resistente): kanamicina, amikacina, aztronan, estreptomicina, cefotaxima, ciprofloxacino.

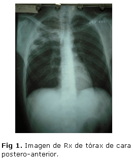
Rx Tórax Postero-anterior (Figura 1) y lateral derecha (Figura 2).

No se definen alteraciones del área cardiaca ni del resto del mediastino.

En LSD se visualizan varias imágenes redondeadas con centro radio- transparente y periferia radiopaca que impresionan corresponder con abscesos en formación, 2 localizados hacia la parte lateral del LSD y uno adyacente al contorno superior derecho del mediastino. No se definen alteraciones del resto del parénquima pulmonar. No se definen otras alteraciones pleurales.

Imágenes radiopacas con niveles hidroaéreos en su interior y áreas radiopacas difusas alrededor de las mismas en relación con abscesos pulmonares en evolución con signos de neumonitis asociada. En la vista lateral, se comprueba que dichas lesiones se encuentran localizadas en el segmento posterior del LSD. TAC de Tórax (Figura 3).

Se realizó Tomografía axial computarizada (TAC) de Tórax simple en equipo Shimadzu Monocorte con cortes a 7 mm y reconstrucciones en MPR (siglas en inglés de multiplanar reformation) donde se comprueba la existencia de varios abscesos pulmonares con niveles hidroaéreos localizados en el segmento posterior del LSD derecho, de los cuales los mayores se encuentran 2 hacia la parte más lateral del mismo, que miden 4,9 cm. en corte axial, 4,6 cm. en corte coronal y 6,1 cm. en corte sagital y 3 cm. en corte axial, 3,2 cm. en corte coronal y 4,3 cm. en corte sagital, respectivamente, y uno hacia la parte más medial del mismo que mide 4 cm. en corte axial, 3 cm. en corte coronal y 3,8 cm. en corte sagital. Estos abscesos se acompañan de signos de neumonitis perilesionales.

 

DISCUSIÓN

El absceso pulmonar (AP) corresponde a un área de supuración en la cual se desarrolla necrosis central y cavitación del parénquima pulmonar, rodeado por una pared gruesa de tejido inflamatorio, que puede o no establecer comunicación con la vía aérea. Desde el punto de vista radiológico, se caracteriza por ser una cavidad mayor a 2 cm, generalmente única, de paredes gruesas y presentar nivel hidroaéreo. El AP se clasifica como primario si ocurre en adultos previamente sanos y, secundario, si existe una causa subyacente (inmunológicas, neurológicas, neoplásicas, pulmonares); único si existe una sola cavidad y múltiple si coinciden varias. 8-11

En determinadas circunstancias, cualquier agente patógeno puede producir un absceso, los microorganismos que se aíslan con más frecuencia son los Staphylococcus aereus, seguido en frecuencia por Streptococcus pneumoniae estreptococos aerobios y anaerobios, y numerosos microorganismos gram negativos, con mucha frecuencia aparecen infecciones mixtas debido al importante papel causal que tiene la inhalación de material extraño, en 60% los únicos agregados que se aíslan son microorganismos anaerobios que normalmente se encuentran en la boca como bacteroides, fusobacterium y peptococcus. 6, 7

Además de la vía inhalatoria, otras vías de entrada de la infección pueden ser: aspiración de material infeccioso, una infección primaria anterior, embolias sépticas, neoplasias y otros como son la siembra hematógena del pulmón por microorganismos piógenos,3 como es el caso que se presenta.

Los microorganismos penetran en el pulmón a través de los siguientes mecanismos (3):

a-Aspiración de material infeccioso, fundamentalmente en situaciones de alcoholismo, coma, anestesia, sinusitis, sepsis gingivales y cuando se deprime el reflejo de la tos.

b-Una infección primaria anterior, como neumonías se asocian a esta y klebsiella, infecciones micóticas y bronquiectasias.

c-Embolias sépticas procedentes de tromboblefitis o de las vegetaciones de una endocarditis bacteriana del corazón derecho.

d-Neoplasias cuando 1 segmento bronco pulmonar ha quedado obstruido.

e-Otros como son la siembra hematógena del pulmón por microorganismos piógenos, traumatismos que penetren directamente al pulmón y la propagación de un foco séptico vecino.

f-A veces no se encuentra la causa, se denominan abscesos pulmonares criptogenéticos.

Dependiendo del mecanismo etiopatogénico, las lesiones pulmonares son diferentes. Así, la neumonía estafilocócica primaria provoca una bronconeumonía con áreas de necrosis hemorrágica, cavitación precoz y formación de neumatoceles, y en el caso de la neumonía secundaria, como en el caso presentado, al ser originada por émbolos sépticos, se producen microabscesos pulmonares habitualmente bilaterales con cavitación posterior. 6,8,12

En el caso presentado, el foco primario es la infección del paciente por S. aureus con posterior diseminación al pulmón por vía hematógena. En este caso en particular, la vía de transmisión de los microorganismos fue a punto de partida de una celulitis abscedada de rodilla izquierda, 21 días antes del proceso respiratorio, que evolucionó a neumonía necrotizante y/o abscesos pulmonares múltiples.

No se le realizó exudado de nasofaringe por no tener disponibilidad del estudio y además no dejo de ser tratado con antibióticos de amplio espectro desde el momento de su ingreso, cosa ésta que nos justificaría el hecho de 3 hemocultivos negativos; aún cuando inferimos un paso previo de bacteriemia antes de la colonización en pulmón. Por otra parte, carecemos de discos de cefoxitina y, por tanto, no se puede plantear que sea un estafilococo meticilin resistente.

Se aisló también Hafnia Alves un gram negativo que suele aparecer asociado a otros gérmenes y en paciente inmunocomprometidos.

El S. aureus, coloniza más que lo que infecta, hasta un 30 % de las personas pueden estar colonizados: orofaringe, ingles, axilas, periné, esto puede provocar infecciones de piel y partes blandas (forúnculos) a repetición, incluso aumenta las posibilidades de infección del sitio quirúrgico y bacteriemias 13

Los pacientes con AP presentan habitualmente fiebre alta, afectación del estado general, tos y dificultad respiratoria. La radiografía de tórax y la TC son las principales técnicas de imagen que se utilizan y el diagnóstico etiológico se realiza mediante el aislamiento del microorganismo en sangre, líquido pleural y otras colecciones purulentas.6,9

Las imágenes pulmonares cavitarias con contenido aéreo o hidroaéreo pueden producirse por diversos mecanismos. Es difícil diferenciar, mediante técnicas de imagen, entre quistes, ampollas, neumatoceles, pioneumatoceles y abscesos. La historia clínica y la evolución son básicas para establecer el diagnóstico. 6,8,12

Recientemente, fue descrito un caso con iguales características por Ruiz Nápoles y colaboradores en el Hospital Militar de Holguín en un paciente masculino de 48 años de edad, con antecedentes de Diabetes mellitus tipo 2, que presentó un absceso en la región glútea izquierda y se determinó la presencia de abscesos pulmonares. En la radiografía de tórax vista postero-anterior (a nivel del hemitórax izquierdo se observaron dos imágenes radiopacas cavitadas con nivel hidroaéreo horizontal de localización parahiliar y paracardíaca e imagen radiopaca redondeada infraclavicular, en hemitórax derecho se observó otra imagen cavitada de iguales características. Se aisló un Staphylococcus aureus en el hemocultivo y esputo bacteriológico.4

Otro caso, descrito en la literatura, con igual diagnóstico a nuestro caso, fue un niño de 3 años que presentó de forma aguda, fiebre alta y tos productiva, afecto de hemofilia A2, portador de un port-a-cath (PAC) para la administración del factor VIII recombinante. La TC informó de la presencia de varias cavidades de pared gruesa con nivel hidroaéreo en la mayoría, diseminadas en ambos campos pulmonares, destacando una de 5 cm. en lóbulo inferior derecho y otra con contenido aéreo, de 2 cm. de diámetro, en lóbulo inferior izquierdo.6

En estos casos, existía el antecedente de enfermedades de base que deprimen la inmunidad; en el paciente presentado, por el hecho de ser criador de palomas, se investigó la posibilidad de criptococosis, estudios que arrojaron resultados negativos.

 

CONCLUSIONES

Se presenta un caso de un paciente inmunocompetente con abscesos pulmonares múltiples causado por Stafilococcus aureus, a partir de una celulitis abscedada en rodilla izquierda. El diagnóstico se realizó por estudio microbiológico del lavado bronquial, se le aplicó triple terapia antimicrobiana, por tres semanas, concluyendo el tratamiento con vancomicina. Evolucionó favorablemente con mejoría clínica e imagenológica.

 

REFERENCIAS BIBLIOGRÁFICAS

1. Testoni I, Tizziani R, Galimberti P, Valtorta E, Baldomá F, Chavero I, et al. Absceso de Pulmón. Argentina: Facultad de Ciencias Médicas, Universidad Nacional de Rosario, 2008; 1:1-5.

2. Takayanagi N, Kagiyama N, Ishiguro T, Tokunaga D, Sugita Y.  Etiology and Outcome of Community-Acquired Lung Abscess. Am Rev Respir Dis. 2010; 80:98-105.

3. Kobzik Lester. El pulmón. En: Patología estructural y funcional. México DF: Mc Graw-Hill Interamericana Editores, S.A de C.V, 2006: 770-1.

4. Ruiz Nápoles JB, Ruiz Nápoles K, Reyes Tornes E, Suñol Mulet D. Abscesos pulmonares múltiples por Staphylococcus aureus. CCM. 2013; 17: 1-3.

5. Torres EB, Mota CD, Paz SV.  Manejo de absceso pulmonar. Caso clínico.  MEDICRIT. 2009; 6:34-7. [citado 23 sep 2013]. Disponible en: http://www.medicrit.com/a/6134.php .

6. Vera Estrada M, Cols Roig Mª, Badosa Pagés J, Ribó Cruz J, Pou Fernández J. Abscesos pulmonares múltiples por Staphylococcus aureus en un paciente portador de port-a-cath. Anales de Pediatría. 2005; 63 (2):1-3.

7. Nagaoka K, Izumikawa K, Yamamoto Y, Yanagihara K, Ohkusu K, Kohno S. Multiple Lung Abscesses Caused by Actinomyces graevenitzii Mimicking Acute Pulmonary Coccidioidomycosis. Clin. Microbiol. 2012; 50: 3125-8.

8. Fuentes Valdés  E. Técnica de Monaldi para el tratamiento de abscesos pulmonares. Rev Cub Cirug. 2010; 49(2). [citado 23 sep 2013]. Disponible en: http://scielo.sld.cu/scielo.php?script=sci_arttext&pid=S0034-74932010000200008

9. Lucaya J, Docou Le Pointe H. High-Resolution CT of the lung in children. En: Lucaya J, Strife JL, editors. Pediatric chest imaging. 1.ª ed. Heidelberg: Springer; 2002, p.. 55-92.

10. Tardío E. Absceso de pulmón y neumonía necrosante. En: De Arístegui J, Corretger JM, Fortuny C, Gatell JM, Mensa J, editores. Guía de terapéutica antimicrobiana en Pediatría. 1.ª ed. Barcelona: Antares; 2004, p. 9-11.

11. Corbalán Ojeda V. Absceso pulmonar. Etiología y anatomía patológica. Síntomas y signos. Diagnóstico. Pronóstico y tratamiento. Portales médicos. 2009. [citado 20 sep 2013]; Disponible en: http://www.portalesmedicos.com/publicaciones/articles/1921/1/.

12. Gadkowski LB, Stout Jason E. Cavitary Pulmonary Disease. Clin Microbiol Rev. 2008; 21(2): 305-33.

13. Lee C, Sankaran S, Lowy F. Staphylococcus Aureus oropharyngeal carriage in a prison population. Clin Infect Dis. 2011; 52(6):775-8.

 

 

Recibido: 14 de Octubre de 2013
Aprobado: 21 de Febrero de 2014